박재훈 대표원장이 직접 작성하는 임상 블로그
서울든든한치과의원안녕하세요. 군자역 치과 서울든든한치과 대표원장 박재훈입니다. 환자분들께서 진료실에서 깜짝 놀라며 문의하시는 질문 중 하나가 바로 “하품하다가 갑자기 턱..
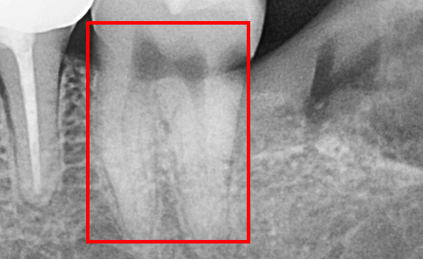
서울든든한치과의원안녕하세요 군자동 치과 서울든든한치과 박재훈 원장입니다. 오늘은 우측 아래 어금니(#46)가 깨져 내원하신 50대 남성 환자분의 사례를 소개해드리겠습니다..
서울든든한치과의원안녕하세요. 군자역 치과 서울든든한치과 대표원장 박재훈입니다. 치과 진료실에서 환자분들께서 가장 자주 하시는 질문 중 하나가 바로 “치아 빼고 나서 피가..
서울든든한치과의원어느덧 선선한 바람이 부는 가을이 찾아왔습니다. 9월과 10월은 아침저녁으로는 꽤 쌀쌀하지만, 낮에는 따뜻한 햇살이 이어지는 계절이죠. 환절기에는 면역력..
서울든든한치과의원안녕하세요! 서울든든한치과입니다 2025년 12월 진료 일정을 안내드립니다. 한 해의 끝자락인 12월, 따뜻하고 건강한 겨울 보내시길 바랍니다❄️ 서울..
서울든든한치과의원안녕하세요. 군자역 치과 서울든든한치과 대표원장 박재훈입니다. 치아를 잃게 되면 일상 속 불편함뿐 아니라 심미적인 고민까지 함께 찾아옵니다. 틀니는 덜컥..
서울든든한치과의원안녕하세요. 서울든든한치과입니다. 오늘은 올해 2월 졸업 후 첫 직장으로 저희 서울든든한치과에 함께하게 된 선생님의 생일을 맞아, 작지만 따뜻한 축하 ..
서울든든한치과의원안녕하세요. 군자역 치과 서울든든한치과 대표원장 박재훈입니다. 진료실에서 많은 환자분들이 가장 많이 하시는 질문 중 하나가 바로 “구역반사가 심한데 치과..
서울든든한치과의원안녕하세요. 군자역 치과 서울든든한치과 대표원장 박재훈입니다. 최근 임플란트 수술이나 잇몸 치료 후, 회복을 빠르게 돕기 위해 PDRN 연어재생주사(일명..
서울든든한치과의원안녕하세요. 군자역 치과 서울든든한치과 대표원장 박재훈입니다. 환자분들께서 진료실에서 자주 하시는 질문 중 하나가 바로 “아침에 일어났는데 입 안에 피가..
실제 환자분들의 치료 전,후 케이스
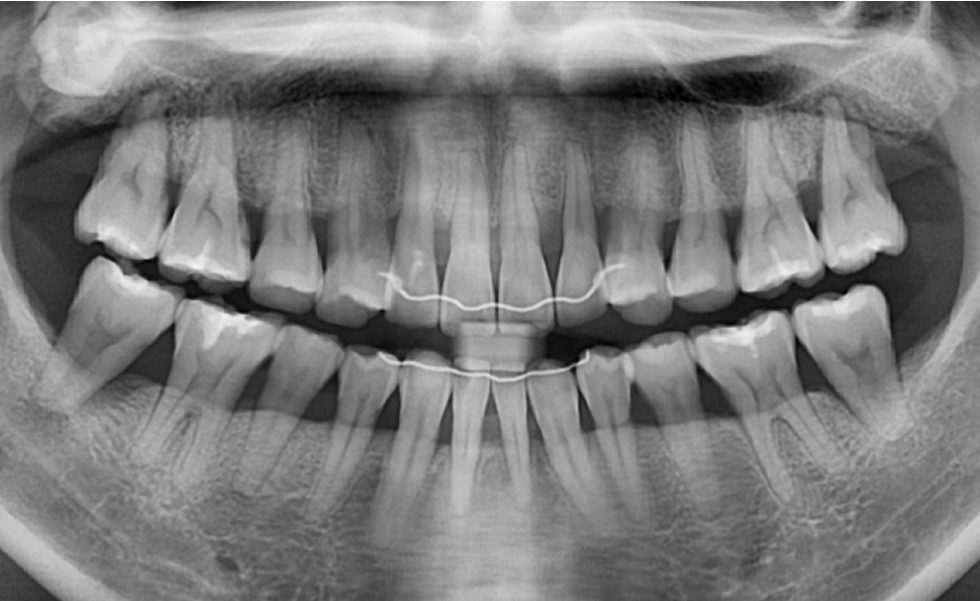
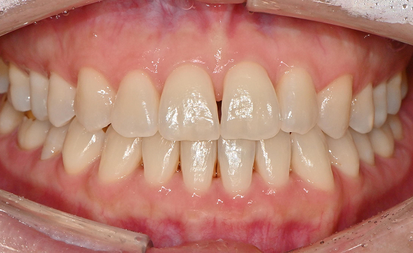
치료 전
치료 후
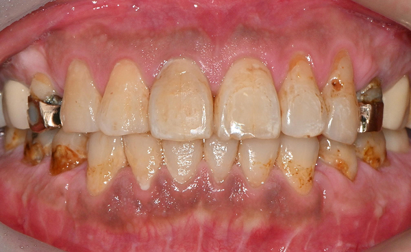
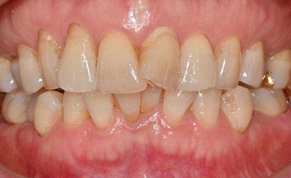
치료 전
치료 후
모든 치료 결과는 환자분에 따라 차이가 있을 수 있으며, 부작용이 발생할 수 있습니다.
본 사진은 동일 조건에서 촬영되었으며, 환자 본인의 동의를 얻어 게재되었습니다.
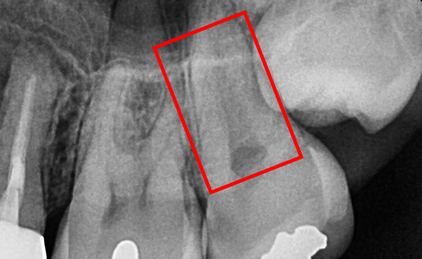
치료 전
치료 후
모든 치료 결과는 환자분에 따라 차이가 있을 수 있으며, 부작용이 발생할 수 있습니다.
본 사진은 동일 조건에서 촬영되었으며, 환자 본인의 동의를 얻어 게재되었습니다.
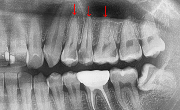
치료 전
치료 후
치료 전
치료 후
모든 치료 결과는 환자분에 따라 차이가 있을 수 있으며, 부작용이 발생할 수 있습니다.
본 사진은 동일 조건에서 촬영되었으며, 환자 본인의 동의를 얻어 게재되었습니다.
치료 전
치료 후
모든 치료 결과는 환자분에 따라 차이가 있을 수 있으며, 부작용이 발생할 수 있습니다.
본 사진은 동일 조건에서 촬영되었으며, 환자 본인의 동의를 얻어 게재되었습니다.
치료 전
치료 후
치료 전
치료 후
모든 치료 결과는 환자분에 따라 차이가 있을 수 있으며, 부작용이 발생할 수 있습니다.
본 사진은 동일 조건에서 촬영되었으며, 환자 본인의 동의를 얻어 게재되었습니다.
치료 전
치료 후
치료 전
치료 후
모든 치료 결과는 환자분에 따라 차이가 있을 수 있으며, 부작용이 발생할 수 있습니다.
본 사진은 동일 조건에서 촬영되었으며, 환자 본인의 동의를 얻어 게재되었습니다.
치료 전
치료 후
치료 전
치료 후
모든 치료 결과는 환자분에 따라 차이가 있을 수 있으며, 부작용이 발생할 수 있습니다.
본 사진은 동일 조건에서 촬영되었으며, 환자 본인의 동의를 얻어 게재되었습니다.
치료 전
치료 후
치료 전
치료 후
모든 치료 결과는 환자분에 따라 차이가 있을 수 있으며, 부작용이 발생할 수 있습니다.
본 사진은 동일 조건에서 촬영되었으며, 환자 본인의 동의를 얻어 게재되었습니다.
치료 전
치료 후
모든 치료 결과는 환자분에 따라 차이가 있을 수 있으며, 부작용이 발생할 수 있습니다.
본 사진은 동일 조건에서 촬영되었으며, 환자 본인의 동의를 얻어 게재되었습니다.




